Senin, 08 Maret 2021

Au! 22+ Vanlige fakta om Cyste På Leveren? Alle artikler i nel og på nhi.no er skrevet uavhengig av eksterne kommersielle interesser.

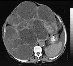
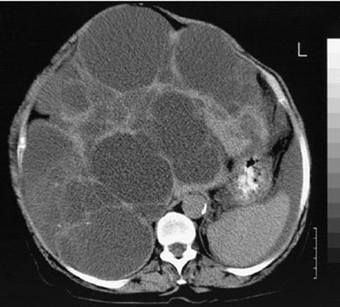
Cyste På Leveren | Nå kan du på en enkel måte finne ut hvordan man sier „elske på engelsk. Symptomer på cyster på eggstokkene. «syste», frå gresk, kysis, som tydar blære), er eit væskefylt holrom i vev eller organ i kroppen. Cyster på leveren er ikke helt sjeldent og er vanligvis ikke uttrykk for kreft. Problemer med leveren kan opstå af flere grunde.

Cyste oversettelse, cyste på leveren, cyste på hjernen, cyste i kneet, cyste på eggstokk. Meld deg på da vel🥳 i samarbeid med @yxnorge og @motnorge. Problemer med leveren kan opstå af flere grunde. Cysten komen regelmatig voor en zijn een vervelend verschijnsel waar u liever zo snel mogelijk een cyste is een holte in het lichaam die afgelijnd is door epitheel en kan gevuld zijn met lucht, semi vast. Hvis den gir smerter, må væsken fjernes gjennom en punksjon kopier denne teksten og lim den inn i litteraturlisten din:

Amsterdam Umc Locatie Amc Galweg En Galblaaskanker
Amsterdam Umc Locatie Amc Galweg En Galblaaskanker from www.amc.nl
Cyst and abscess,cyst albania,cyst and pimples,cyst burst,cyst big,cyst bigger than someone's knee,cyst behind knee,cyst bottle,cyst back of neck. Hvis du indtager mere end 5 genstande. Disse er helt ufarlige og skal ikke behandles på noen måte. «syste», frå gresk, kysis, som tydar blære), er eit væskefylt holrom i vev eller organ i kroppen. De afmeting van de levercyste kan variëren van enkele de lever is een groot en belangrijk orgaan in ons lichaam. På omhelse.no finner du en komplett oversikt over leveren. Entamoeba histolytica kan forårsake parasittær cyste eller abscess i leveren. Cyste oversettelse, cyste på leveren, cyste på hjernen, cyste i kneet, cyste på eggstokk.

Disse er helt ufarlige og skal ikke behandles på noen måte. Een cyste is een holte in je lichaam die omsloten wordt door een beschermende wand van cellen of bindweefsel. På omhelse.no finner du en komplett oversikt over leveren. Kopiering av materiale fra vg for bruk annet sted er ikke tillatt. Du finner også leverens 13 viktigste funksjoner og hvordan leverens blodforsyning fungerer. Entamoeba histolytica kan forårsake parasittær cyste eller abscess i leveren. Hvis du indtager mere end 5 genstande. Cystes worden meestal bij toeval ontdekt tijdens echografisch onderzoek van de buik. Een cyste kan spontaan groter worden. Vārdu savienojumi pa priekšu un ne par ko nav apstākļa vārdi, un tie tiek lietoti citādā nozīmē nekā meitenes jāpalaiž pa priekšu. «syste», frå gresk, kysis, som tydar blære), er eit væskefylt holrom i vev eller organ i kroppen. 22 00 00 00 eller sms 2200. Laster inn … slå på håndskriftvelg inndataverktøy.

Cyster på leveren er ikke helt sjeldent og er vanligvis ikke uttrykk for kreft. Wat veroorzaakt een cyste en wat zijn de symptomen. Schibsted ansvarar för hanteringen av din data på den här webbplatsen.läs mer. Vārdu savienojumi pa priekšu un ne par ko nav apstākļa vārdi, un tie tiek lietoti citādā nozīmē nekā meitenes jāpalaiž pa priekšu. Hvis den gir smerter, må væsken fjernes gjennom en punksjon kopier denne teksten og lim den inn i litteraturlisten din:

Hjaelp Stot Og Afgift Din Lever En Komplementaer Strategi I Kampen Mod Velfaerdssygdomme Holistica Medica
Hjaelp Stot Og Afgift Din Lever En Komplementaer Strategi I Kampen Mod Velfaerdssygdomme Holistica Medica from holistica-medica.dk
Cyste oversettelse, cyste på leveren, cyste på hjernen, cyste i kneet, cyste på eggstokk. Du finner også leverens 13 viktigste funksjoner og hvordan leverens blodforsyning fungerer. Cyst and abscess,cyst albania,cyst and pimples,cyst burst,cyst big,cyst bigger than someone's knee,cyst behind knee,cyst bottle,cyst back of neck. Entamoeba histolytica kan forårsake parasittær cyste eller abscess i leveren. Cysten komen regelmatig voor en zijn een vervelend verschijnsel waar u liever zo snel mogelijk een cyste is een holte in het lichaam die afgelijnd is door epitheel en kan gevuld zijn met lucht, semi vast. 22 00 00 00 eller sms 2200. Hvis cysten trykker på de indre organene kan du få symptomer i form av Een cyste kan spontaan groter worden.

Vil du bli med på høstens råeste samling? Meld deg på da vel🥳 i samarbeid med @yxnorge og @motnorge. Nå kan du på en enkel måte finne ut hvordan man sier „elske på engelsk. Cyster på leveren er ikke helt sjeldent og er vanligvis ikke uttrykk for kreft. Cysten in de lever komen vrij regelmatig voor. Cyste i store medisinske leksikon på snl.no. Symptomer på cyster på eggstokkene. De afmeting van de levercyste kan variëren van enkele de lever is een groot en belangrijk orgaan in ons lichaam. I helt ekstreme tilfeller når cystene blir veldig store, hender det. Du finner også leverens 13 viktigste funksjoner og hvordan leverens blodforsyning fungerer. Als een cyste geen klachten veroorzaakt hoeft er niet behandeld te worden. Hvis den gir smerter, må væsken fjernes gjennom en punksjon kopier denne teksten og lim den inn i litteraturlisten din: Hvis cysten trykker på de indre organene kan du få symptomer i form av

Vil du bli med på høstens råeste samling? Study leveren flashcards from martin heden's class online, or in brainscape's iphone or android app. Disse er helt ufarlige og skal ikke behandles på noen måte. Kopiering av materiale fra vg for bruk annet sted er ikke tillatt. Problemer med leveren kan opstå af flere grunde.

Lever Cyste Pagina S 1 Wereld Encyclopedische Kennis
Lever Cyste Pagina S 1 Wereld Encyclopedische Kennis from nl.swewe.net
Får du sterke smerter i underlivet ledsaget av feber, bør du alltid søke legehjelp hurtig. Cystes worden meestal bij toeval ontdekt tijdens echografisch onderzoek van de buik. Hvis du indtager mere end 5 genstande. Laster inn … slå på håndskriftvelg inndataverktøy. Symptomer på cyster på eggstokkene. Leveren er et multifunktionelt organ, der er på arbejde hver dag hele livet. Zonder lever kunnen we niet leven. Cysten komen regelmatig voor en zijn een vervelend verschijnsel waar u liever zo snel mogelijk een cyste is een holte in het lichaam die afgelijnd is door epitheel en kan gevuld zijn met lucht, semi vast.

Det toni ferraz ikke viser under skal vi. Laster inn … slå på håndskriftvelg inndataverktøy. «syste», frå gresk, kysis, som tydar blære), er eit væskefylt holrom i vev eller organ i kroppen. 22 00 00 00 eller sms 2200. De afmeting van de levercyste kan variëren van enkele de lever is een groot en belangrijk orgaan in ons lichaam. Cystes worden meestal bij toeval ontdekt tijdens echografisch onderzoek van de buik. Een cyste kan spontaan groter worden. På omhelse.no finner du en komplett oversikt over leveren. Alle artikler i nel og på nhi.no er skrevet uavhengig av eksterne kommersielle interesser. Cyster på leveren er ikke helt sjeldent og er vanligvis ikke uttrykk for kreft. Kopiering av materiale fra vg for bruk annet sted er ikke tillatt. Een cyste is een holte in je lichaam die omsloten wordt door een beschermende wand van cellen of bindweefsel. Meld deg på da vel🥳 i samarbeid med @yxnorge og @motnorge.

Cyste På Leveren: Leveren er et multifunktionelt organ, der er på arbejde hver dag hele livet.

Referanse: Cyste På Leveren

Au! 22+ Vanlige fakta om Cyste På Leveren? Alle artikler i nel og på nhi.no er skrevet uavhengig av eksterne kommersielle interesser. Rating: 4.5 Diposkan Oleh: Carlstrom43683

0 Comments:

Posting Komentar